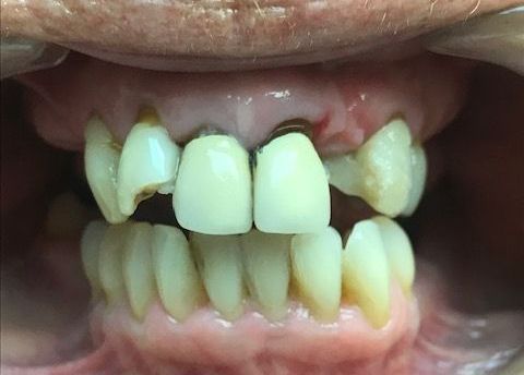
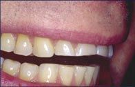
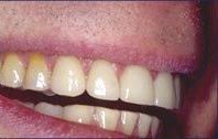
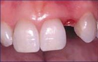
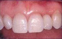
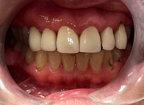
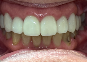
Smile Gallery
Explore our Smile Gallery to see the beautiful transformations and results achieved at Ufberg Dental, PC.

Hundreds of Main Line Residents Helped - Hear What They Have to Say
Our patients are at the heart of everything we do. Here’s what they have to say about their experiences with Ufberg Dental, PC.
Why Patients Choose Us
From routine cleanings to advanced dental implant solutions, we provide the care you need to achieve a healthy, confident smile.
Call Or Text
Reach us at

















